WAYS TO TREAT ROOT SENSITIVITY
In a previous blog post, I explained what causes root sensitivity, also referred to as “dentin sensitivity.” In this post, I’ll outline some of the common treatments for such a condition.
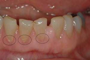
In short, dentin sensitivity is caused by the stimulation of nerve endings that are connected to dental pulp and terminate at the root surface. Normally, a thin layer of root structure called cementum covers these nerve endings. However, abrasion or erosion of this delicate root coating is common when the gums recede. There are many ways to treat the sensitivity and the best method depends on the severity of the gum recession, which is really the “root cause” of the sensitivity (no pun intended). The three methods of treatment are listed in order of least invasive to most invasive.
- Topical treatments
- Bonded fillings
- Gum grafting
TOPICAL TREATMENTS
Topical treatment includes various liquids, pastes, or gels that can be applied to the affected area. This is usually the best solution for cases in which there is very little gum recession causing the sensitivity. Here are some of the common medicaments that can be used:
- Anti-sensitivity Toothpaste: Colgate-Sensitive®—one of the most commonly used toothpaste for sensitivity—works by using a numbing agent called potassium nitrate, which temporarily stops the nerve impulses of the exposed nerves. Of course, once this active ingredient washes away, the sensitivity can return.

- High-fluoride Prescription Toothpaste: There are many brands of prescription toothpaste available from your dentist’s office or from the pharmacy. One brand made by 3M®, called Clinpro™ 5000, contains 1.1% sodium fluoride. It works by remineralizing the sensitive root surface. The fluoride ions in the toothpaste help to fill or “obturate” the microscopic tubes within the tooth that contain the nerve endings—like applying paint to wood, as the paint seeps into the tiny pores within the wood sealing and protecting it from the weather. In the case of toothpaste, the fluoride is deposited in the microscopic pores of the tooth, sealing the surface and preventing the nerve endings from being stimulated.
- Desensitizing Gel: These gels are not available from the pharmacy but most dental offices have them. They are usually applied by the hygienist or dentist and require controlled conditions for proper application. The gel contains a chemical called potassium oxalate, which gets deposited on the affected root surface, covering the exposed nerve endings and desensitizing the tooth. This is an excellent product for people who experience sensitivity while having their teeth cleaned.
- Bonding Resin Surface Coating: If the above treatments don’t work, your dentist can clean the sensitive root surface with phosphoric acid and apply one to three coats of a light-hardened clear plastic resin—the same resin used to bond while filling material to tooth structure. This thin layer of resin forms an invisible barrier over the exposed root structure, preventing stimulation of the once-exposed nerve endings. This treatment will is generally very successful, however, the sensitivity can return if the bonding material is worn off of the root surface.
BONDED FILLINGS
In cases where sensitivity can’t be adequately treated with a topical treatment and/or the exposed root surface is deeply worn or discolored, it may be necessary to place a tooth-colored filling in the affected area. The white filling material eliminats the sensitive root area by covering the exposed root surface. Usually, at least minor removal of the tooth structure is necessary to provide proper space for the filling material and to provide a good bonding substrate for the filling material. Thus, it’s best to reserve this procedure for instances where the root structure has been somewhat eroded or abraded, to avoid unnecessary drilling and weakening of the root.
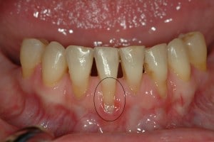
GUM GRAFTING
When gum recession is moderate to severe, creating a sensitivity issue, and there are additional health-related benefits to doing a gum grafting procedure, gum grafting is the best course of treatment. In these cases, we are really solving more than one problem with a single procedure. Gum grafting is a surgical procedure in which gum tissue is either repositioned over an exposed root surface or “transplanted” from another area of the mouth (usually the hard palate area) to the affected site, to cover the exposed root surface.



