ORAL ABSCESSES

By definition, an abscess is puss-filled tissue within the body. The two most common abscess types in the mouth are periodontal abscesses (gum abscess) and endodontic abscess (tooth abscesses).  Both types of abscesses are caused by bacterial growth and the body’s inflammatory response to fighting these bacteria. Tissue inflammation at the site of infection is thus caused by an accumulation of pus: a yellowish-green liquid composed of bacteria, dead white blood cells, and serum.

Tooth abscesses are referred to as endodontic abscesses because the source of infection comes from within the tooth. The word root “endo” means within, and the word root “odont” means tooth, therefore endodontic means from within a tooth.

A tooth is composed mainly of hard tissue, (dentin, enamel, and cementum), but a small hollow portion in the center of the tooth contains nerves and blood vessels.  This inner part of the tooth is called the dental pulp, or just the pulp. Loss of blood supply to the pulp, which commonly happens due to trauma to these delicate tissues, allows an endodontic abscess to start forming. The blood contains white blood cells, one of our body’s primary defense mechanisms from bacteria. Therefore, loss of blood supply to the pulp allows growth of anaerobic bacteria inside the tooth, within the pulp chamber and associated root canal spaces.  The nerves and blood vessels enter the tooth through tiny openings at the root tips of the teeth, called the root apices. When an endodontic abscess forms, it is called a “periapical abscess.” Root “peri” means around and root “apex” means high point, therefore a periapical abscess is an abscess formed around the root tip of a tooth.

Endodontic abscesses can be quite painful when infection mounts rapidly; the confined space within the tooth and dense bone around the roots combined with accumulation of pus and other inflammatory byproducts may cause intense pressure on the nerves and periodontal tissue surrounding the tooth. This is referred to as an “acute abscess.” Conversely, when a tooth infection develops slowly, very little or no discomfort may be felt. This type of “painless infection” is called a “chronic abscess.” Chronic abscesses can be present for months or years without the patient knowing, as no pain is ever created. Sometimes draining of the infection through the gum tissue into the oral cavity may cause a sour taste in the mouth. This is sometimes the only sign that a dental abscess is present. This type of abscess is therefore usually discovered by radiographic examination at a routine dental visit.

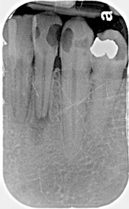
X Ray Of Abcess | Bellingham Dentist | Dental Implants | Northside Dental Care
Abscess X-ray

Periodontal abscesses are the second type of oral abscess and are less common than endodontic abscesses. They are typically not painful like endodontic abscesses, as they form in the gum tissue or small crevasses surrounding the teeth called dental sulci, which create much less resistance to the expansion caused by the infection. In other words, the gum tissue can expand as pus forms, without causing acute pain. Periodontal abscesses form when bacteria thrive, and the body’s defense system cannot mount an adequate defense from those bacteria.  An accumulation of pus creates localized swelling within the gum tissue. The gum tissue at the site of the abscess typically appears red and swollen and the gum tissue bleeds easily. A sour taste may result from pus draining directly into the oral cavity and foul breath is usually present.

It is also possible to have both a gum abscess and a tooth abscess at one time. In other words, an endodontic abscess may form and a periodontal abscess may form simultaneously around the same tooth that has an endodontic abscess. This dual-infection is called a “combined perio-endo lesion.” Treatment of such a combined lesion is much more complex and often results in the tooth being extracted to resolve the infection.